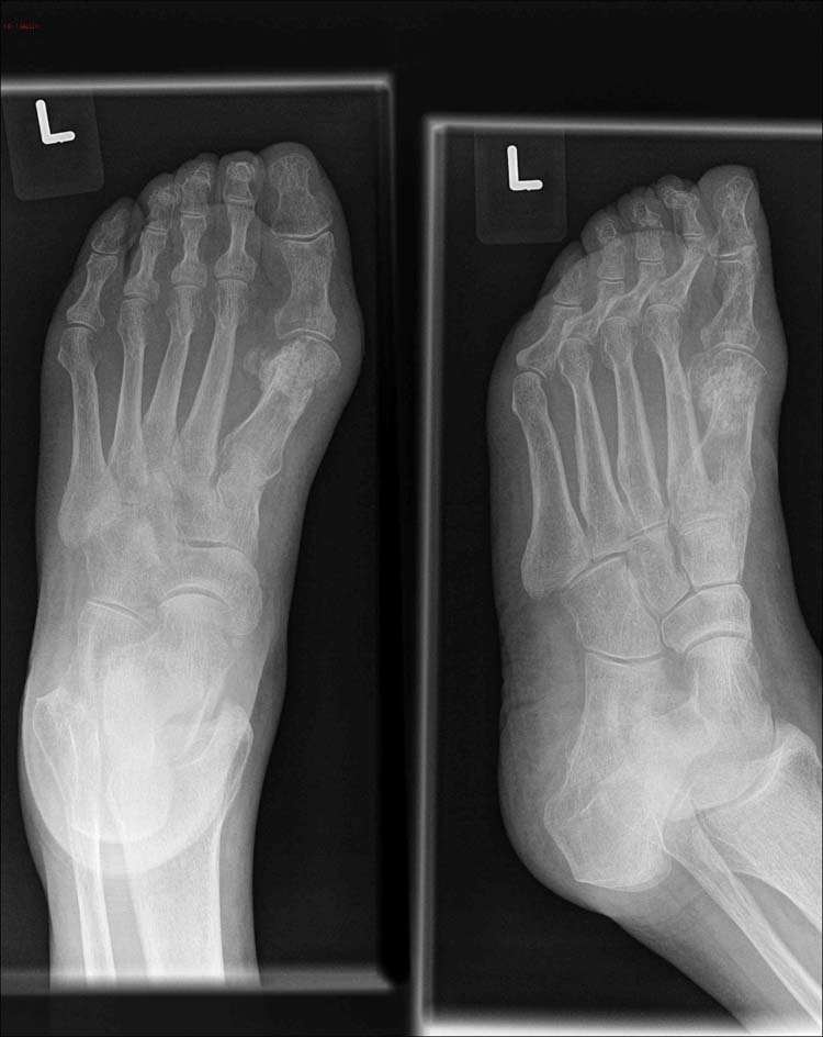
Cool Tricorrectional Bunionectomy 2023. Web bunion surgery is an operation to correct a bunion, which is a deformity of the big toe joint. Tricorrectional bunionectomy j am podiatr med assoc.

Most of them involve repositioning the big toe to. Revisional hallux abducto valgus surgery using tricorrectional bunionectomy Straightening your big toe by removing part of the bone.



